A Rare Case of Acute Cerebrovascular Accident in the Post-Partum Period after Primary Angioplasty during Pregnancy

ECG of a pregnant lady with Acute Heart Attack

ECG of a pregnant lady with Acute Heart Attack

Angiography showing 100% blocked Coronary Artery
Image after Thrombus removal and angioplasty
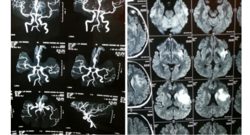
Brain scan showing Infarct

A lady admitted with Acute Heart Attack with a six-month pregnancy, managed with medication, Angiography and Angioplasty with all possible safety measures for the foetus, kept on the medicines safe for the yet to be born child, delivered a healthy baby through an elective caesarian section. However, due to her pregnancy-induced hypercoagulable state (blood has a tendency to clot), she suffered a stroke in the postpartum period. She completely recovered from both these significant events. Her Heart returned to Normal functions too. 

This is a rare case and was selected for publication in The International Journal of Clinical Medicine (Archived Journal)

Add new comment

Restricted HTML

  • Allowed HTML tags: <a href hreflang> <em> <strong> <cite> <blockquote cite> <code> <ul type> <ol start type> <li> <dl> <dt> <dd> <h2 id> <h3 id> <h4 id> <h5 id> <h6 id>
  • Lines and paragraphs break automatically.
  • Web page addresses and email addresses turn into links automatically.